Latest Shëndetësi News
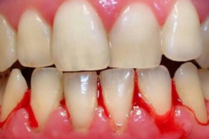
Gjakderdhje te mishrat e dhëmbëve? Keni mungesë të kësaj vitamine
Gjakderdhja e mishit të dhëmbëve zakonisht konsiderohet si një problem dentar ose…
Çajet më të mira bimorë kundër astmës
Çajet bimorë janë të nevojshëm dhe të domosdoshëm për të rikthyer nivelet…
Pse duhet të zgjoheni herët në mëngjes?
E dimë që shumë prej jush pëlqejnë të qëndrojnë gjatë natën dhe…
Arsyet përse dhëmbi dhemb më shumë natën
Dhimbja e dhëmbit përshkruhet si e paprecedentë e krejt ndryshe nga dhimbjet…
Frutat më të mirë që duhet ngrënë në stomak bosh
Ngrënia e frutave në mëngjes është mënyra më e mirë për ta…
Përfitimet shëndetësore nga kafja turke
Për shumëkënd, kafja turke është pija e preferuar në mëngjes dhe faktikisht…

