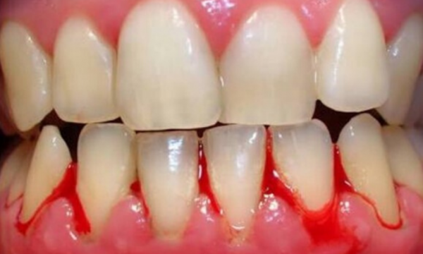
Gjakderdhja e mishit të dhëmbëve zakonisht konsiderohet si një problem dentar ose një shenjë e gingivitit, një fazë e hershme e sëmundjes periodontale. Pra, nëse mishrat e dhëmbëve ju rrjedhin gjak, dentisti juaj mund të këshillojë pastrimin e dhëmbëve dy herë në ditë. Por një studim i ri sugjeroi që gjakderdhja e mishit të dhëmbëve mund të jetë gjithashtu një shenjë e mungesës së vitaminës C. Studimi shtoi se marrja ditore e vitaminës C mund të ndihmojë në rregullimin e këtij problemit.
“Nëse mishrat e dhëmbëve ju rrjedhin gjak, bëni një vizitë me dentistin tuaj për të zbuluar nëse është për shkak të gingivitit, por gjithashtu duhet të kontrolloni marrjen e vitaminës C”, u shprehën studiuesit nga Universiteti i Uashingtonit.
Mungesa e vitaminës C është një arsye e mundshme pse mishrat e dhëmbëve rrjedhin gjak, sipas autorit kryesor Philippe Hujoel, një profesor i shkencave të shëndetit oral në Shkollën e Stomatologjisë UË.
Studiuesit zbuluan se disa pjesëmarrës që përjetuan gjakderdhje të mishit të dhëmbëve, prirje të gjakderdhjes gingivale, gjakderdhje në sy ose hemorragji të retinës kishin nivele të ulëta të vitaminës C në qarkullimin e gjakut. Çuditërisht, konsumimi i lartë i vitaminës C parandaloi gjakderdhjen.
Studiuesit sugjerojnë që konsumimi i ulët e vitaminës C mund të çojë në gjakderdhjeje, e cila nuk mund të trajtohet me larjen e dhëmbëve.
Studiuesit rekomandojnë që njerëzit të kontrollojnë sa vitaminë C konsumojnë dhe të përpiqen të përfshijnë ushqime jo të përpunuara të tilla si lakër jeshile, speca ose kivi në dietën tuaj. Nëse nuk mund të gjeni ushqime të shijshme të pasura me vitaminë C, merrni parasysh një shtesë të vitaminës C prej rreth 100 deri në 200 miligramë në ditë, sugjeruan ata.
Kini kujdes për shenjat e tjera që tregojnë se keni mungesë të Vitaminës C
Njerëzit me një dietë me karbohidrate të ulëta, të tilla si një dietë paleo, mund të eliminojnë nga dieta e tyre fruta të pasura me vitaminë C si kivi ose portokall pasi janë të pasura me sheqer. Kjo mund të çojë në një marrje të ulët të vitaminës C dhe në këtë mënyrë një tendencë të rritur të gjakderdhjes.
Dieta e dobët, alkooli, anoreksia, sëmundje të rënda mendore, pirja e duhanit dhe dializa janë faktorët më të zakonshëm të rrezikut për mungesën e vitaminës C.
Si do ta kuptonit nëse keni mungesë të vitaminës C? Më poshtë janë disa nga shenjat dhe simptomat më të zakonshme të mungesës së vitaminës C.
“Lëkurë pule” me gunga: Mungesa e vitaminës C mund të çojë në keratosis pilaris, një gjendje e lëkurës që mund të shkaktojë formimin e “lëkurës së pulës” me gunga në pjesën e prapme të krahëve, kofshëve ose vitheve. Kjo ndodh për shkak të një grumbullimi të proteinave keratinike brenda poreve.
Thonjtë e gishtave në formë luge me njolla ose vija të kuqe: Këto mund të jenë shenja të anemisë nga mungesa e hekurit si dhe e mungesës së vitaminës C. Nivelet e ulëta të vitaminës C mund të dobësojnë enët e gjakut, të cilat thyhen lehtë. Kjo mund të çojë në shfaqjen e njollave të kuqe ose vijave vertikale tek thonjtë, e njohur gjithashtu si hemorragji copëzash.
Mungesa e vitaminës C mund të shkaktojë gjithashtu folikula të kuqe të ndritshme të flokëve, lëkurë të thatë dhe të dëmtuar, mavijosje të lehtë, shërim të ngadalshëm të plagëve, nyje të dhimbshme të fryrë, kocka të dobëta, imunitet të dobët, lodhje dhe humor të dobët dhe shtim në peshë të pashpjegueshme.

