By using this site, you agree to the Privacy Policy and Terms of Use.
Accept
Argument-MKArgument-MK
  • Balllina
  • Maqedoni
  • Shqipëri
  • Ekonomi
  • Bota
  • Analiza
  • Kronika
  • Showbizz
  • Sport
  • + Më tepër
Reading: Si duket shpëlarja e vërtetë e trurit?
Share
Notification Show More
Font ResizerAa
Font ResizerAa
Argument-MKArgument-MK
  • Editorial
  • Analiza
  • Rekomanduar
  • Balllina
  • Maqedoni
  • Shqipëri
  • Ekonomi
  • Bota
  • Analiza
  • Kronika
  • Showbizz
  • Sport
  • + Më tepër
Have an existing account? Sign In
Follow US
  • Advertise
© 2022 Foxiz News Network. Ruby Design Company. All Rights Reserved.
Argument-MK > Blog > Shëndetësi > Si duket shpëlarja e vërtetë e trurit?
Shëndetësi

Si duket shpëlarja e vërtetë e trurit?

admin
Last updated: 27/02/2026 09:13
By admin 1 Min Read
Share
SHARE

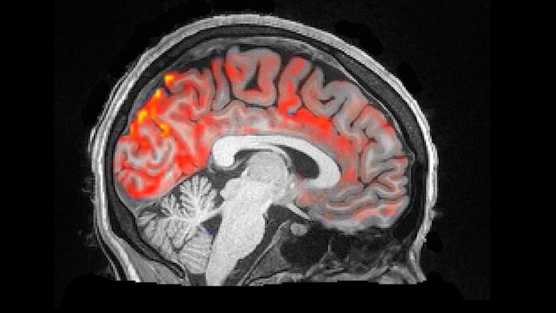
Mbase këtë nuk e keni ditur, mirëpo organizmi ynë çdo natë shpëlan trurin tonë

Neuro-shkencëtarët kanë bërë xhirim të mrekullueshëm në të cilin shihet pastrimi pulsues i aparatit tonë të trurit, shkruan Science Alert.

Sipas hulumtimit më të ri, gjatë natës nëpër trurin tonë rrjedhin valët e lëngut cerebrospinalë, duke pulsuar ritmikisht derisa ne flemë gjumë dhe eliminojnë toksinën e dëmshme.

Lëngu cerebrospinal plotëson hapësirën përreth trurit dhe palcës kurrizore dhe i mbron nga prekja e drejtpërdrejtë me kafkën përreth trurit.

“Tashmë një kohë të gjatë e dimë që në neurone ekzistojnë valë të aktiviteteve elektrike. Mirëpo, sapo i kemi vërejtur valët në lëngun cerebrospinal”, ka thënë neuro-shkencëtarja Lora Lusi nga Universiteti i Bostonit.

Duke pasur parasysh që gjatë procesit të plakjes bie frekuenca e ngadalshme e valëve të trurit, ky studim më i ri do të mundë të ndihmojë me rastin e hulumtimit të problemeve të lidhura me plakjen, bashkë me çrregullimet specifike karakteristike për moshën vjetër.

You Might Also Like

Çfarë i ndodh trupit kur skuqemi në fytyrë

Njihuni me super-vlerat e spinaqit

Këto tri pije do t’ju shpëtojnë nga dhimbja e kokës

Si duhet të veproni nëse keni tension të lartë gjaku

5 truqe për t’u ndjerë më pak i uritur

Share This Article
Facebook Twitter Email Print
Previous Article Mësojeni veten si të jeni pozitivë
Next Article Barcelona tani e di çmimin për të nënshkruar me yllin e Interit
Leave a comment

Leave a Reply

You must be logged in to post a comment.

Stay Connected

FacebookLike
TwitterFollow
YoutubeSubscribe
TelegramFollow
- Advertisement -
Ad imageAd image

Latest News

Merz: Nuk dua përçarje të NATO-s
Maqedoni TOP LAJM
Ministri Salla: Legjislacioni shqiptar për sigurinë ushqimore është i përafruar me rregulloret e BE-së
Shqipëri
Ballazhi: Vonohemi me masat për celularët, bota po vepron më shpejt
Maqedoni TOP LAJM
Vendi ka rezerva të mjaftueshme të naftës, çmimet ndiqen çdo ditë në bursën botërore
Ekonomi

Ndalohet ribotimi i përmbajtjes (lajmeve dhe të gjitha shkrimeve të tjera) pa lejen me shkrim të portalit “Argument”.

Quick Link

  • Editorial
  • Analiza
  • Rekomanduar

Sign Up for Our Newsletter

Subscribe to our newsletter to get our newest articles instantly!

© 2026. ANET.COM.MK - All Rights Reserved.
Welcome Back!

Sign in to your account

Lost your password?