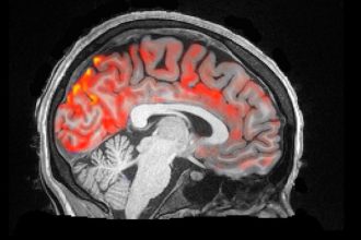
Si duket shpëlarja e vërtetë e trurit?
Mbase këtë nuk e keni ditur, mirëpo organizmi ynë çdo natë shpëlan…
Mësojeni veten si të jeni pozitivë
Të shohësh vetëm aspektet pozitive të jetës nuk është gjithmonë e lehtë.…
Një burrë gjendet i vdekur pranë shtëpisë në Dragash
Një burrë është gjetur pa shenja jete në rrugë të enjten, pranë…
Për shkak të rrëshqitjes së dheut është mbyllur qarkorja rreth Manastirit, komunikacioni po rikahëzohet nëpër qytet
Shkup, 27 shkurt - Qarkorja rreth Manastirit prej dje nga ora 18:30 është…
Pakistani bombardoi kryeqytetin afgan, raportohet për dhjetëra viktima
Të shtëna me armë u dëgjuan pranë Pallatit Presidencial në Kabul, pasi…
Sot mot i kthjellët dhe kushte atmosferike të qëndrueshme në të gjithë vendin
Shërbimi Meteorologjik Ushtarak njoftoi se sot vendi ynë do të ndikohet nga…
Kryetari Rama takon Rafunën e OEK-ut: Zhvillimi ekonomik kërkon bashkëpunim dhe zgjidhje konkrete
Kryetari i Komunës së Prishtinës, Përparim Rama ka takuar kryetarin e Odës…
Banka Evropiane për Rindërtim dhe Zhvillim: Kosova ndër vendet më të goditura nga tarifat e reja të Amerikës
Shtetet e Bashkuara të Amerikës kanë vendosur një paketë të re tarifash…
Epstein tentoi të blinte pallat luksoz në Marok një ditë para arrestimit në 2019
Jeffrey Epstein u përpoq të blinte një pallat luksoz në Marok një…
Hillary Clinton dëshmoi mbi 6 orë para panelit të Dhomës së Përfaqësuesve
Hillary Clinton doli përpara ligjvënësve republikanë në një intervistë me dyer të…

