Vandalizohet një veturë “Fiat 500” në Shkup, mbushet me mbishkrime fyese
Një automjet i modelit “Fiat 500” është vandalizuar në një parking në…
Ulet numri i rasteve të gripit, 1.306 raste të regjistruara javën e fundit
Shkup, 13 shkurt – Gjithsej 1.306 raste me grip ose sëmundje të ngjashme…
5 truqe për t’u ndjerë më pak i uritur
Prodhimi i tepërt i hormoneve të urisë çon në ngrënie më shumë…
Disa hapa për të larguar lodhjen në ditët e dimrit
Shumë prej nesh në këtë kohë e kemi problem të zgjohemi në…
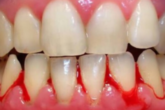
Gjakderdhje te mishrat e dhëmbëve? Keni mungesë të kësaj vitamine
Gjakderdhja e mishit të dhëmbëve zakonisht konsiderohet si një problem dentar ose…
Çajet më të mira bimorë kundër astmës
Çajet bimorë janë të nevojshëm dhe të domosdoshëm për të rikthyer nivelet…
Gjërat luksoze pa të cilat njerëzit nuk mund të jetojnë
Nga Wi-Fi tek udhëtimet, ka disa gjëra pa të cilat nuk mund…
Zvogëlohen turbullirat në burimin “Shum”, uji në Strugë edhe më tej i ndaluar për pirje
Strugë, 13 shkurt - Pakësohen turbullirat në burimin "Shum" prej ku furnizohen me…
Barcelona në garë për talentin e Bundesligës, Flick kërkon nënshkrimin
Barcelona po tenton të nënshkruajë me Yan Diomande, sulmuesin e Leipzig që…
Një favorit në garën për Christian Pulisic
Christian Pulisic mund të rikthehet në Ligën Premier tre vjet pas largimit të tij.…

